گاما رو نصب کن!

{{ number }}
اعلان ها
اعلان جدیدی وجود ندارد!
کاربر جدید

جستجو

پربازدیدها: #{{ tag.title }}

جستجوهای پرتکرار

میتونی لایو بذاری!

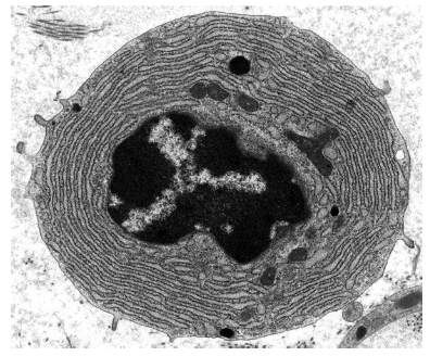
The electron micrograph shows a type of blood cell. 
What can be concluded from the electron micrograph? 

1 ) 

The cell secretes products that are toxic to pathogens. 

2 ) 

The cell synthesises a large quantity of proteins. 

3 ) 

The cell synthesises large quantities of antigens.

4 ) 

The cell digests pathogenic bacteria. 

تحلیل ویدئویی تست

منتظریم اولین نفر تحلیلش کنه!