گاما رو نصب کن!

{{ number }}
اعلان ها
اعلان جدیدی وجود ندارد!
کاربر جدید

جستجو

پربازدیدها: #{{ tag.title }}

جستجوهای پرتکرار

میتونی لایو بذاری!

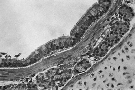
The image shown is a photomicrograph of a transverse section of part of the gas exchange system.

What describes the image?

1 ) 

a thin inner layer of ciliated epithelial cells on top of a layer containing cartilage, supported by elastic fibres

2 ) 

a very thin epithelial lining with walls containing elastic fibres, surrounded by many blood vessels

3 ) 

an inner layer of ciliated epithelial and goblet cells on top of elastic fibres, supported by an outer layer consisting of cartilage

4 ) 

an inner layer of ciliated epithelial and goblet cells on top of loose tissue with mucous glands, supported by a continuous ring of cartilage

تحلیل ویدئویی تست

منتظریم اولین نفر تحلیلش کنه!